
Human branding is the process in which a mark, usually a symbol or ornamental pattern, is burned into the skin of a living person, with the intention that the resulting scar makes it permanent. This is performed using a hot or cold iron. It therefore uses the physical techniques of livestock branding on a human.

A subdermal implant refers to a kind of body jewelry that is placed underneath the skin, therefore allowing the body to heal over the implant and creating a raised design. Many people who have these implants use them in conjunction with other types of body modification to create a desired, dramatic effect.

Most people can stretch to at least 2ga (1/4″) and still have the tissue return to normal when they remove the jewelry, but there really are no guarantees. Don’t stretch your ears unless you are certain you’ll be okay with it forever. Once the elastic limit of the skin has been passed, or a large amount of additional tissue has been built up, the hole will not close again completely. A person who is either obsessed with stretching their piercings, or with showing off their many stretched piercings, is known as a “Gauge Queen”. Some wear this term with pride, others use it derisively.
7. Tongue Splitting
Tongue bifurcation, or tongue splitting, is a type of body modification in which the tongue is cut centrally from its tip part of the way towards its base, forking the end. In most cases, the split is created through scalpeling or surgical laser. Self modifiers often choose to achieve a split by gradually tightening nylon bindings inserted through an existing tongue piercing over a long period of time. This method is long, arduous, and requires a high pain tolerance.

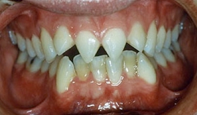
Tooth filing is a form of body modification in which people file their natural teeth to create a desired look or shape.


This is the practice of permanently inserting small beads made of various materials beneath the skin of the genitals–of the labia, or of the shaft or foreskin of the penis. As well as being an aesthetic practice, this is usually intended to enhance the sexual pleasure of partners during vaginal or anal intercourse. The practice seems to have been fairly common across world cultures and is still done today. You can see a VERY Not Safe For Work image here.

Eyeball tattooing has been around for a long time; in the 19th century it was commonly used to correct cosmetic defects in blind eyes. The procedure can be performed with traditional tattoo needle or a syringe. The eye is simply held open while the pigment, which is the exact same type used in a regular tattoo, is injected into the eyeball.

The process of anal stretching is a lot like earlobe stretching, except you don’t wear the “jewelry” around the clock. Like stretching a piercing, it involves slow and increasingly larger play over an extended period of time. The image above is for “tools” to aid in this modification.

The implantation of jewelry in the outer layer of the eye, this is one I must admit I had not heard of. Apparently first done in the Netherlands, it has come to the US. According to Dr. Christopher Rapuano, a corneal surgeon at Philadelphia’s Wills Eye Hospital, “You can think of it as crazy. I mean this is invasive surgery where you are cutting the surface layer of the eye open to put a little piece of jewelry in. The first time I read about this I said, ‘Oh, my God, who is doing this?’” The safety of this procedure will have to prove itself over time, since it hasn’t been performed on many people, but the possibility for infection and complications is definitely there.